Bristol Myers se asocia con Microsoft para la dete
Forbes México . Bristol Myers se asocia con Microsoft para la detección del cáncer de pulmón impulsada por IA Bristol Myers Squibb anunció este martes la firma de un acuerdo con Microsoft para utilizar la plataforma de radiología basada en IA de la c...
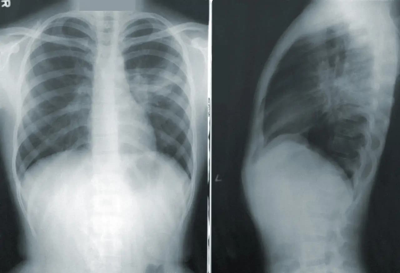
Forbes México . Bristol Myers se asocia con Microsoft para la detección del cáncer de pulmón impulsada por IA Bristol Myers Squibb anunció este martes la firma de un acuerdo con Microsoft para utilizar la plataforma de radiología basada en IA de la compañía tecnológica con el fin de acelerar la detección temprana del cáncer de pulmón. La colaboración implementará algoritmos de IA para radiología aprobados por la Administración de Alimentos y Medicamentos de EU (FDA) a través de la Red de Imágenes de Precisión de Microsoft, que analiza imágenes de rayos X y tomografías computarizadas para identificar enfermedades pulmonares y es utilizada por hospitales en Estados Unidos, informaron las compañías. Bristol Myers afirmó que las herramientas podrían ayudar a los médicos a detectar nódulos pulmonares difíciles de observar e identificar a algunos pacientes en etapas más tempranas de la enfermedad. La farmacéutica indicó que un objetivo clave de la colaboración es ampliar el acceso a la detección temprana en comunidades con acceso limitado a servicios médicos, incluyendo hospitales rurales y clínicas comunitarias en todo Estados Unidos. Te interesa: Regulador de EU aprueba fármaco de Bayer para combatir el cáncer de pulmón “Al combinar las soluciones de radiología altamente escalables de Microsoft con la profunda experiencia de Bristol en oncología y administración de fármacos, hemos imaginado un flujo de trabajo único basado en IA que ayuda a los médicos a identificar con rapidez y precisión a los pacientes con cáncer de pulmón de células no pequeñas y guiarlos hacia las vías de atención óptimas y terapias de precisión”, afirmó Alexandra Goncalves, vicepresidenta y directora de Salud Digital de Bristol Myers Squibb. Las compañías farmacéuticas recurrieron cada vez más a la inteligencia artificial para acelerar la I+D, apostando a que las nuevas herramientas de modelado y los laboratorios automatizados pueden mejorar la eficiencia de sus procesos de desarrollo. La semana pasada, AstraZeneca anunció que acordó la compra de Modella AI, con sede en Boston, para acelerar la investigación de fármacos oncológicos. Con información de Reuters Suscríbete a nuestro canal de YouTube y no te pierdas de nuestro contenido Bristol Myers se asocia con Microsoft para la detección del cáncer de pulmón impulsada por IA Forbes México Staff



